生物制药小编 / 张虎
非酒精性脂肪性肝病 (NAFLD) 是一个世界性的医疗保健问题,估计全球患病率为25%。NAFLD 的范围从临床病程相对良性的孤立性脂肪变性(肝脏脂肪堆积)到非酒精性脂肪性肝炎(NASH)的严重疾病。NASH的特征为肝细胞损伤、炎症和纤维化,病程进展,可能导致肝硬化及其并发症(包括肝细胞癌)。
2016-2030年全球NAFLD/NASH药物市场规模预测,单位/亿美元
来源:Frost & Sullivan
NASH 发病机制的中心特征是对肝脏营养底物过量供应的应激反应功能障碍,促进纤维化并最终导致肝硬化(4期纤维化)。此外,基因组不稳定性增加了导致肝细胞癌的致癌风险。
尽管在预防、停止或逆转 NASH 方面存在高度未满足的医疗需求,但目前尚无获批的许可药物,开发这些药物具有挑战性。NASH 候选药物必须表现出预防或延缓疾病进展的能力,通过包括进展至肝硬化、肝脏相关结局事件(腹水、肝性脑病、上消化道出血)和全因死亡的复合终点进行测定。然而,考虑到这些结果的低发生率,监管机构建议使用肝组织病理学作为结果的替代终点,以加速条件性药物批准,同时等待试验的临床结果数据。
然而,识别合适的患者符合肝活检试验的资格存在许多挑战,超过70%的筛选患者不符合合格标准。其他挑战包括高度可变的安慰剂应答率和需要具有适当终点的正确试验设计和允许准确评估药物疗效的治疗持续时间。
NASH临床试验概况
NASH 临床试验中定义的合格标准通常按照多个步骤依次评估,包括实验室检查、影像学检查和肝活检。在筛选阶段使用美国食品药品监督管理局 (FDA) 定义的替代(肝脏组织学)终点定义患者的合格标准,并作为疗效终点(肝脏组织学从基线至治疗结束的变化)。组织学评估包括2005年由 NASH 临床研究网络开发的 NAFLD 活动度评分 (NAS) 和纤维化分期评价。NAS 是区分3种病变的数值半定量评分:脂肪变性(评分0-3)、小叶炎症(评分0-3)和气球样变(评分0-2);其总和反映了疾病分级(总分0-8)。该评分还评估了纤维化的严重程度(评分0-4),能够评估疾病分期。该评分允许分析组织学变化,以便在治疗干预试验中进行比较和相关研究。在2012年和2018年美国肝病协会 NASH 指南研究中,推荐未患糖尿病的 NASH 患者使用维生素E,推荐伴或不伴糖尿病的 NASH 患者使用吡格列酮。
图1. 常规 NASH 临床试验中
每个步骤的筛选失败率 (SF)
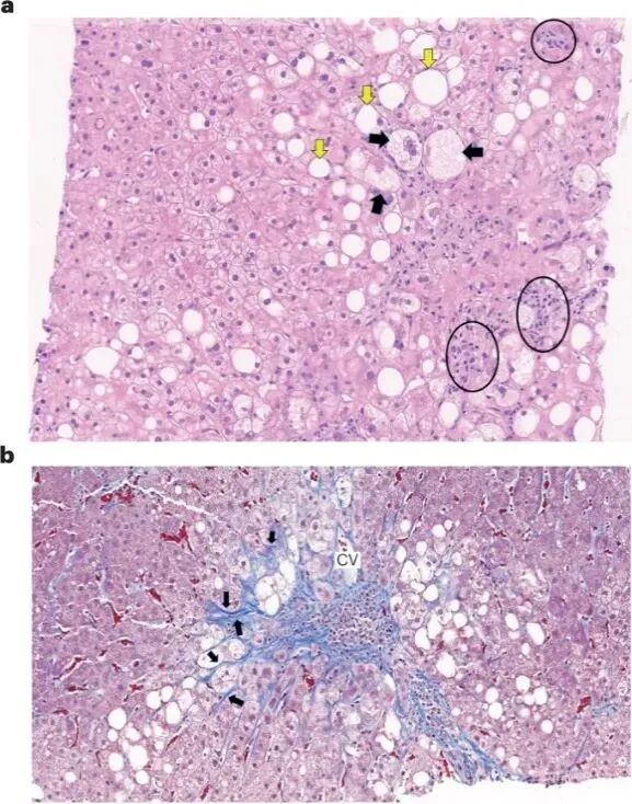
图2.NASH中的纤维化、脂肪变
自 PIVENS 试验以来,NASH临床试验的主要疗效终点和入选标准发生了重大变化。第一个主要变化是出现的数据显示,纤维化2期或以上的 NASH 患者发病(失代偿)和死亡风险增加。这一观察结果导致采用术语“高危NASH”(伴有 F2 和更高纤维化的NASH)作为关键入选标准,尤其是 III 期试验(不包括肝硬化患者)。然而,这种对疾病严重程度的人为分类使得许多晚期疾病患者超出了临床试验的入选标准。
该领域的第二个重大变化是继2011年 FDA 发表的白皮书之后,详细介绍了药物审批的路线图,其中指出,应达到两个组织学终点之一作为替代终点:NASH缓解(定义为炎症评分为0或1,气球样变评分为0)且不伴纤维化恶化或纤维化改善≥1期,不伴 NASH 恶化。然后肝活检被认为是评估疾病严重程度的金标准,活检终点成为3期试验条件性药物批准的主要标准。该政策允许在等待最终批准的结果数据时加速批准药物(考虑到疾病的未满足需求)。这两个替代终点已在许多大型3期临床试验中广泛应用,但仍然是 FDA 和欧洲药品管理局 (EMA) 之间的主要分歧点。FDA 接受 NASH 消退或纤维化改善作为主要终点,而 EMA 要求达到共同主要终点(包括 NASH 消退和纤维化改善)。
NASH 临床试验面临的挑战
■标准组织学评估的局限性
需要肝活检来识别入组的适当个体并作为临床试验的疗效终点有多个重要的局限性。首先,该手术的侵入性为患者参与试验造成了犹豫,并与严重并发症的可能性相关。其次,考虑到疾病的异质性和组织学样本的尺寸较小,存在采样变异性问题。最后,病理医生读片存在差异性。
■成像终点的局限性
磁共振成像 (MRI) 衍生的质子密度脂肪分数 (MRI-PDFF) 已成为临床试验中基线时定量肝脏脂肪变性的最准确方法之一。使用 MRI-PDFF 中脂肪分数降低≥30%以及肝脏脂肪含量的平均相对和绝对变化作为疗效终点。然而,尽管 MRI-PDFF 中脂肪的变化与脂肪性肝炎的组织学改善相关,但即使相对降低70%,也仅在不到50%的病例中预测 NASH 消退。在未来 III 期试验的设计中,把握度计算可能具有挑战性。
■试验持续时间
研究设计的另一个问题是确定适当的试验持续时间,涉及许多考虑因素:药物作用机制、2期试验中的效应幅度和疾病严重程度(F2–F3与肝硬化)。未能正确解释所有这些因素可能导致研究持续时间太短而无法证明疗效。
■合并症的影响
除肝脏疗效终点外,在评价正在开发的用于治疗 NASH 的新药时,应仔细评估多种因素。心血管疾病是非肝硬化NASH患者死亡的主要原因。临床试验中基线合并症的存在也可能影响临床试验中的治疗应答率。
■安慰剂应答率较高
在 NASH 临床试验中,出乎意料的高且可变的安慰剂反应一直是一个慢性和令人烦恼的问题。多年来,在主要终点和目标人群的选择变化中,安慰剂应答率各不相同。
推进药物开发的策略
■临床试验设计和终点的创新
适应性研究设计允许在研究开始后进行修改,而不影响有效性和完整性。考虑到 NASH 的多方面机制,适应性设计试验可通过更好地选择目标人群使申办方获益;例如,期中分析可证明在按合并症、生活方式和/或遗传学定义的患者子集中的治疗缓解率更佳。NASH 的非侵入性诊断仍然受到生物标志物准确性较低的限制。
NITs 作为与肝组织学相关的工具出现,并最终作为无创评估疾病严重程度和纵向变化的结局,是 NASH 试验的重要进展。这些生物标志物评价与组织学结果相对应的疾病不同特征,即肝脏脂肪变性、疾病活动度(气球样变和炎症)和纤维化分期。
■个性化治疗
越来越明显的是,NASH发病机制中的主要驱动机制可能无法在所有个体中复制,且对底物超负荷的肝功能障碍应激反应随性别、人种、种族、合并症、遗传背景、表观遗传学和其他尚未阐明的特征而变化。
图3.治疗 NASH 的靶向通路
迄今为止在大多数临床试验中证实的次优疗效表明,“一刀切”的方法不太可能导致 NASH 的突破性治疗。因此,非常需要了解更多关于使用 MOA 正确的药物对正确患者进行个体化治疗的信息。一种方法是开发对特定 MOA 应答的预测性生物标志物,作为试验用药物进行检测。另一个方法是利用患者来源的诱导多能干细胞形成类器官来测试对特定药物的个性化应答。
表1. 处于临床开发阶段的药物
■联合治疗
联合治疗背后的基本原理是基于通过互补或协同 MOA 改善疗效,并通过允许较低剂量的单个化合物改善耐受性。在无尽可能的药物排列中找到正确的组合仍然是一个关键的挑战。最有吸引力的组合涉及针对 NASH 发病机制多个步骤的不同类别的药物,如能量平衡、肝脏代谢、肝细胞应激和纤维化形成。
参考资料:
Harrison, S.A., Allen, A.M., Dubourg, J. et al. Challenges and opportunities in NASH drug development. Nat Med 29, 562–573 (2023). https://doi.org/10.1038/s41591-023-02242-6
声明:本稿件为转载,仅用于分享,不代表本公众号立场,如涉及版权等问题,请尽快联系我们,我们将第一时间更正或删除。本文仅为作者观点,不构成任何投资建议,且非治疗方案推荐。
往期回顾
|
1 |
|
|
2 |
|
|
3 |
|

个人中心
我是园区