
该研究对于未来组织修复相关的治疗手段的开发以及抗生素的临床使用都提供了新的指导
长期以来,环境因素对组织再生的影响一直科学家们普遍关心的问题。肠道微生物与免疫系统对组织修复以及再生过程都具有重要的作用,然而其背后的机制并不清楚。
最近发表在《Cell Host Microbe》杂志上的一项研究中来自美国霍普金斯大学医学院的Luis A. Garza教授等人首次揭示了皮肤共生菌对伤口损伤修复的影响。该研究对于未来组织修复相关的治疗手段的开发以及抗生素的临床使用都提供了新的指导。

(图片来源:www.cell.com)
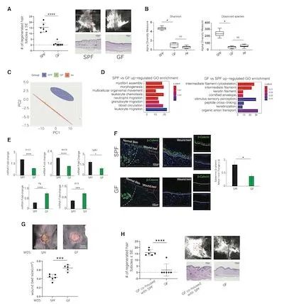
在这项研究中,作者重点关注了皮肤细菌对伤口炎症反应的促进作用,以及后者对伤口再生的调节。为此,作者使用了一种名为“损伤诱导毛发再生”的小鼠模型(WIHN)。首先,作者比较了SPF小鼠与GF小鼠其组织损伤再生的能力差异。结果表明,相比SPF小鼠,GF小鼠在接受WIHN诱导后,其再生能力明显较低。转录组学分析表明,SPF小鼠在损伤诱导后会出现免疫相关基因的高表达,同时伴随着角质化细胞分化相关基因的表达,然而这些基因在GF小鼠中的表达量相对更低。

(图1,GF小鼠组织修复能力明显减弱)
进一步,作者希望了解局部的抗生素处理是否会影响组织损伤再生的能力。对此,作者给予SPF小鼠以及GF小鼠的伤口组织以新孢素(Neosporin)刺激。结果显示,接受新孢素处理后,SPF小鼠的WIHN水平大幅降低,与GF小鼠处于相当的水平。在此基础上,作者认为特定皮肤共生菌或许能够促进组织再生,对此,作者向小鼠皮下组织注射金黄色葡萄球菌,之后进行WIHN的诱导。结果表明,皮下接种金葡菌能够提高小鼠伤口愈合效果,同时伴随着促炎性基因的表达水平的上升,其中包括IL-1b。

(图2,抗生素处理显著降低小鼠皮肤组织损伤修复能力)
之后,作者进行了一系列生化与遗传学分析,揭示了天然免疫信号通路中的关键蛋白MyD88对于介导金葡菌的促炎性信号以及组织修复功能具有重要作用,而MyD88在角质化细胞中的活化则依赖于上后IL1b以及其受体的信号刺激。这进一步证明了细菌对皮肤组织促炎性信号的激活作用将最终有助于组织损伤再生过程。
综上,该研究首次揭示了以金葡菌为代表的皮肤共生菌对于促进伤口炎性免疫反应以及组织修复的有益作用,希望能够对临床相关治疗以及抗生素的谨慎使用提供理论基础。
原始出处:Wang, Gaofeng et al. Bacteria induce skin regeneration via IL-1β signaling. Cell Host Microbe (2021).DOI:https://doi.org/10.1016/j.chom.2021.03.003


个人中心
我是园区