编者按:
胃癌外科治疗经历了多年的发展,胃癌的根治性手术已经达到了非常高的技术层面,许多胃癌患者都取得了很好的疗效。但发展到现阶段也出现了一定的瓶颈,不能满足所有患者的需求。目前早期胃癌患者的生存率很高,但我国胃癌患者的早诊率较低,仅为20%,大部分患者是进展期,甚至是晚期。如果仅凭外科根治术进行治疗,获益相对有限。除此之外,胃癌患者的预后较差,即使接受了根治术,仍有50~70%的患者发生复发或转移。因此,正确有效的辅助性治疗对预防术后复发、转移具有非常重要的意义。
阿帕替尼是一种血管内皮细胞生长因子受体2(VEGFR-2)酪氨酸激酶抑制剂,已在中国被批准用于治疗既往至少接受过两种系统化疗后进展或复发的晚期胃腺癌或胃-食管结合部腺癌患者和既往接受过至少一线系统性治疗后失败或不可耐受的晚期肝细胞癌患者。多项试验表明阿帕替尼在中晚期胃癌治疗中具有良好的疗效。
然而,阿帕替尼联合化疗用于进展期胃癌根治术后辅助治疗的疗效、安全性的数据仍然缺乏。此外,2018年ASCO公布了一项日本的JACCRO GC-07研究,该研究显示:替吉奥联合多西他赛可作为胃癌患者术后辅助治疗的一个重要的治疗选择。在该项研究的基础上,苏州大学附属第一医院周晓俊教授团队开展了阿帕替尼联合化疗用于局部进展期胃癌(T3~4aN+M0)术后辅助治疗的前瞻性、随机对照、多中心临床研究,初步成果也收录于2021年ASCO大会摘要,展现了胃癌术后辅助治疗中阿帕替尼联合DS方案的有效性和安全性。名医悦谈第九期对该结果进行报道,以飨读者。
研究者说
周晓俊教授采访视频
Q1
胃癌的外科治疗有哪些未被满足的需求,您认为联合策略在胃癌外科治疗中应用价值是怎样的?
周晓俊教授:今天我们来谈一谈胃癌的外科治疗。胃癌的外科治疗经历了多年的发展,胃癌的根治性手术已经达到了非常高的技术层面。100多年来,各种各样的术式,各种各样的治疗方式层出不穷,但是对于胃癌的治疗,仍然没有一个令人非常满意的治疗方式。
为什么会这样呢?其实我们知道胃本身就是一个非常复杂的器官,位于膈肌之下,上接食管,下连小肠。胃的上口为贲门,下口为幽门。整个胃又分为胃底、胃体、胃窦等部门。从粘膜的微观层面来看,胃黏膜的细胞分布也是多种多样的。正是由于这些细胞分布的不同性,导致了胃肿瘤的发生也有很多特殊的类型。那么在胃癌的分期上,我们也将它分成了早期、进展期、晚期胃癌。
对于早期胃癌,目前的治疗效果非常好。尤其是近几年,国内专家,尤其是内镜专家在跟日本专家学习了之后,对于早期胃癌,直接进行内镜下手术,即得到了根治。因此早期胃癌的5年生存率大大提高。但是对于进展期胃癌,尤其是出现转移的胃癌,单纯手术治疗的效果并不是很好。因此在我们外科的手术界存在这样一个说法:早就医、早诊断、早治疗,效果最好!
对于Ⅱ期Ⅲ期的患者,是我们外科医生来争夺的,让患者获得好疗效的重要战场。目前,Ⅱ期Ⅲ期患者,我们国内推广的是D2根治术,该手术方式已经在全国大量推广,并且获得很好的疗效。对于偏晚的Ⅲ期胃癌,则需要我们动更多的脑筋。随着近几年外科手术的发展,从开放的手术方式,到微创手术。尤其是腹腔镜外科手术在胃癌领域的应用,已经有近20年左右的历史。
我们对胃癌诊治的流程、胃癌的术式、胃的重建方式进行了无数的讨论,可以说,在胃癌手术治疗史上,腹腔镜手术已经有了很大的进展,治疗效果也是很明显的,但是对于有淋巴结转移的进展期胃癌,治疗效果依然不是很好。这个时候,我们临床医生就会思考,我们仅仅凭手术就够了吗?我们只能说手术是胃癌整个治疗过程中很重要的一部分,但不是全部。那么此时,我们该怎么办?不仅仅是手术层面,我们更需要一个综合治疗,通过综合的多学科合作治疗模式,为患者带来更多获益。
有的胃癌患者,我们可以考虑术前进行新辅助治疗;有的胃癌患者,我们可以在手术之后进行辅助治疗,这个辅助治疗,我们不仅可以使用传统化疗方案,同时可以考虑加上靶向,甚至是加上免疫治疗,通过这样的综合治疗模式,可能使患者有一个好的获益。正式基于这样的考虑,我们才在胃癌患者的手术之后,和多学科进行合作,希望对胃癌的综合治疗有一个大的推动。
Q2
您能否给我们介绍一下开展这项研究的背景和研究设计?本研究的结果对目前的临床实践有何启发?
周晓俊教授:我国是胃癌高发国家。相对于邻国日本来说,我们在胃癌治疗上的起步较晚。2018年ASCO,公布了一项日本的JACCRO GC-07研究,该研究显示:替吉奥联合多西他赛可作为胃癌患者术后辅助治疗的一个重要的治疗选择。这个研究给了我们一个启发。既然这样一个新的联合方式可以有一个很好的效果,那么在同为亚洲人群的中国人当中,我们在这个方案的基础上再加上一个靶向药物,效果是不是会更好呢?而阿帕替尼是我国原研的一个靶向药物,那么加上这样一个好的联合方案,会不会是一个使患者获得更好获益的方法呢?基于这样的想法,我们进行了多方的沟通、评估,看看能不能开展一个这样的临床研究。
另一方面,我国早期胃癌的患者发现数量较少,日韩的早期胃癌发现率可以达到60%以上,而我国早期胃癌的发现率仅为20~30%,有些地区不足10%。正是因为如此,很多患者就诊时,已经是II期、III期甚至更晚。因此,这样的患者单纯的手术治疗是不够的,术后必须辅以辅助性的化疗和靶向治疗,才能使患者有一个较好的生存获益。基于这样的治疗现状以及目前的临床研究成果,我们才有了这样的一个想法,于是设计了这样的一个课题。
这个课题的设计,从方法上来说不是很复杂:胃癌患者进行根治术后使用DS方案或者阿帕替尼联合DS方案的随机对照研究。主要考察疗效和安全性。这个研究设计,对临床医生来说,操作不复杂;对患者来说,依从性也很好。基于这样简单有效的方式,临床试验可能会有更好的完成率。
在这个项目最开始的启动会的会前会的时候,我们跟很多的专家进行了讨论。作为一名外科医生,在早期的时候,我们做完手术就直接交给肿瘤内科了,因此,并没有过多的关注肿瘤化疗的细节。所以,在课题设计的时候,以为仅仅拿出了这样的一个方案就可以去跟患者进行沟通了。在会前会上,许多肿瘤内科的医生提出了建议甚至是批评。比如:为什么将阿帕替尼放在术后辅助使用?阿帕替尼的起始剂量是多少?DS方案中,是否需要选用白蛋白紫杉醇?使用阿帕替尼的时机?如何调整阿帕替尼的剂量?如何处理患者的不良反应?等等。而我作为一名外科医生,在内科治疗方面是有所缺乏的,是要去不断学习的,同时也是有敬畏之心的。从此之后,我不断地向肿瘤内科专家请教学习。也在慢慢地管理一些术后辅助化疗的患者。在这个管理的过程中,也学习到了一些经验。
作为一名外科医生牵头,同时联合我们苏州地区十几家医院内外科医生一起来做的项目,说句实话,其实一开始心里是没底的。但是我觉得既然我们要开始做一件事情,我们就要把这件事情做好,可能其中有困难,但是我们要坚持。我这个人的性格就是要么不做,要做就把这件事做好!幸好,在整个试验过程中,得到了各个分中心的内外科医生的大力支持,在大家的共同努力之下,这个项目做的越来越好,也有了初步的成果产出。
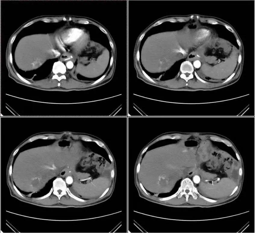
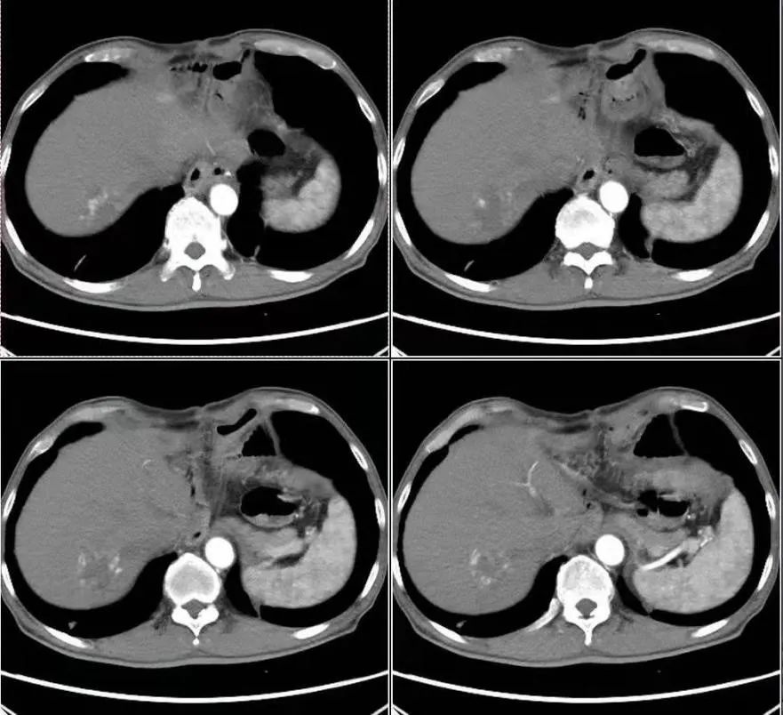
其实,在整个项目的实施过程中,有几个受试者的不良反应是相对来说比较大的,我总是跟患者沟通,或者跟他的主治医生沟通,希望这些患者能够坚持下来。其中也有一些治疗效果非常好的病例。我印象比较深刻的是一个68岁的男性患者,在胃癌手术过程中清扫了40多个淋巴结,其中有19枚淋巴结都发生了转移。这样一个相对晚期的患者,按照以往的经验,术后短时间内可能会发生复发转移,甚至是死亡。但是这位患者,自愿入组了我们的临床试验,配合治疗。截至4月底的最新随访,该患者服用阿帕替尼时长已达到478天,并且到目前为止,该患者的生活质量良好!正是由于这么多的患者从这个临床试验中获益,我们才更有动力将这个项目坚持下去,也能让我们更多地去与外科医生,内科医生去交流,去学习,让他们也对这个方案,对这个临床研究充满信心!
Q3
胃癌的术后辅助研究接下来的路应该怎么走?您认为可以从哪些方面进行探索?
周晓俊教授:胃癌在我国是一个非常值得重视的疾病,但目前的治疗效果有限,始终没有一个突破性的进展。当然在用药方面还是有所进步的,比如我们靶向药物的应用,以及各种免疫制剂的应用,可以说这些药物的应用对于胃癌尤其是晚期胃癌的治疗是一个很大的突破。目前来说,传统化疗仍然是胃癌治疗的基础,在此基础上,我们可以尝试靶向药物。靶向药物的应用,最重要的还是要找到精准的靶点。比如,HER2+的患者,使用曲妥珠单抗就能有一个很好的疗效。但是HER2+的患者在实际患者中的比率还是非常少的。而阿帕替尼对于胃癌有一个广泛的适用性,这样的药物应用起来其实是更加方便的。免疫药物的应用,无论是在胃肠道肿瘤,还是乳腺肿瘤,以及肺的肿瘤,都有很多的尝试,但是具体效果如何,还是需要观察的,有的效果非常好,有的却不尽如人意。不论结果如何,这些都是我们在医学领域的进步。对于胃癌,我们需要从胃癌本身的机制出发,不断的去研究,去找到更多,更精准的靶点,结合不同部位胃的特性,通过不同方案的组合,再加上外科手术的配合,相信,在不远的将来,我们在进展期胃癌的治疗上会取得更大的进展!
沈旭东教授采访视频
Q1
请您谈谈抗血管生成药物在胃癌领域的治疗现状及治疗前景?
沈旭东教授:根据国家癌症中心发布的2020年全国癌症报告,胃癌是我国发病率第二位,死亡率第三位的恶性肿瘤。胃癌发病较为隐匿,且我国胃癌筛查体系尚不完善,这导致胃癌的早诊率低,多数患者就诊时已经发展为进展期胃癌,失去手术机会。而进展期胃癌、甚至晚期胃癌领域,治疗手段非常有限!
近几年,抗血管靶向药物如:雷莫芦单抗、贝伐珠单抗以及阿帕替尼等在临床上应用增多。抗血管靶向治疗联合化疗可显著提高治疗反应率,疗效明显。此外,抗血管联合免疫在其他瘤种中也有很好的疗效,因此,后续如果能够使用抗血管联合免疫的治疗策略,可能为患者提供更多、更广泛的临床选择。
Q2
本研究的阶段性成果,您觉得可以给阿帕替尼在胃癌中的进一步研究探索,带来怎样的启示?
沈旭东教授:手术是目前治疗胃癌的主要根治性手段,然而胃癌的治疗光靠手术是不能满足需求的。对于术前的新辅助治疗,术后的辅助治疗,这些不同的治疗方式,目前都在探讨之中,当然有的也取得了比较好的效果。分子靶向药物在胃癌的使用,一开始的时候,主要在晚期胃癌患者中使用,并且主要是用于后线;而对于胃切术后的患者是否可以使用,目前还属于一个值得探索的新领域。
我们目前开展的“阿帕替尼联合化疗在胃癌术后辅助的治疗”研究,在该领域属于首创,目前也取得了一定的疗效。因此,谈到如何进一步拓展阿帕替尼在胃癌领域的应用,可以从“提线”这一方面来考虑。目前的一些靶向药物,包括雷莫芦单抗、贝伐珠单抗、以及阿帕替尼等都是应用于后线比较多,如果能够将这些靶向药物提到前线来应用,二线、一线,甚至是我们的围手术期,可能患者会获得更好的疗效。
此外,免疫治疗是目前的一大趋势,如果阿帕替尼能与免疫治疗相联合,可能会有更多的突破。这些还需要我们的临床实践来进一步探索。
Q3
请您谈谈,胃癌术后辅助项目中阿帕替尼的临床疗效与优势对目前的临床实践有何指导意义?
沈旭东教授:阿帕替尼在胃癌的应用,主要来源于Ⅲ期的注册临床试验,针对的是胃癌三线的患者。但是我们都知道,对于真实世界中的晚期胃癌患者,用药到三线是非常不容易的,一般三线患者,体力状况差,基本上无法耐受化疗或者其他比较强烈的用药方案,同时,这部分患者的体力状况评分,一般KPS在60分以下,状况是非常不好的。所以说,如果阿帕替尼能够尽量使用到前线,甚至是术后辅助的患者,效果肯定是比后线患者要好的。因此,周晓俊教授就设计了这么一个临床试验,希望能够改善Ⅲ期胃癌这部分患者的预后,尤其是对T3~T4,伴有淋巴结转移的这部分患者!
大家都清楚,对于HER2阴性的,进展期胃癌患者,目前的主要治疗手段仍然是两药方案的化疗,以及沈琳教授的三药FLOT方案,但是这部分患者的治疗其实是有一个瓶颈的,就是化疗的有效率比较低。这些患者大部分都会在2年或者更长的时间内发生复发,同时患者的预后也比较差。因此,迫切需要更好的治疗方式或者是治疗模式来替代目前的治疗方案,突破目前的治疗瓶颈,给患者带来更多的获益。我们这个研究的阶段性数据成果显示,阿帕替尼联合DS方案术后辅助治疗胃癌,可以取得较好的疗效和可耐受的安全性,为进展期胃癌提供了一个新的治疗选择。
病例分享

个人中心
我是园区