主任医师
山东大学齐鲁医院呼吸与危重症医学科副主任
毕业于山东大学医学院,医学博士
2004年-2006年瑞典卡罗林斯卡医学院访问学者
山东省医学会教育技术分会副主任委员
山东省抗癌协会肺癌分会副主任委员
中华医学会呼吸病学分会危重症学组委员
中国医师协会呼吸病学分会危重症学组委员
山东省医师协会呼吸介入分会常务委员
田甜 主治医师
山东大学齐鲁医院呼吸与危重症医学科
山东省医师协会重症肺部感染学组委员
山东省老年医学学会呼吸病学专业委员会委员
中国医药教育协会慢性气道疾病专业委员会中青年委员会委员
擅长支气管哮喘、慢性阻塞性肺疾病等慢性气道疾病及肺部肿瘤、肺结核病的诊治。
一般资料:患者女性,50岁,于2020年12月就诊。
主诉:胸痛1个月
现病史:患者1个月前无明显诱因出现右侧胸部疼痛,深呼吸及咳嗽时疼痛加重,偶有干咳,于当地医院行胸部CT发现右肺中心型肺癌并右肺及淋巴结转移等。
既往史、个人史及家族史:无特殊。
ECOG PS评分:0分。
查体:双侧颈部可触及多枚肿大淋巴结,大者约1.5cm×1.5cm,质韧,轻压痛,活动度差;双肺呼吸音粗;余未见明显阳性体征。
病理结果(2020年11月):(纵隔淋巴结穿刺组织)淋巴组织内查见少许异型细胞,免疫组化符合非小细胞肺癌。免疫组化:CK7(+)、TTF-1(灶+)、NapsinA(+/-)、Ki-67 (10%-20%)、CK5/6 (-)、P63 (灶+)、P40(-)、CK (+)。
病理结果:(左锁骨上淋巴结)结合免疫组化,符合转移的肺腺癌。免疫组化:TTF-1(+)、CK7(+)、Napsin-A(灶+)、CK5/6 (-)、P40(-)、MUC-5AC(-)、GATA-3(-)、Mammaglobin(-)、Ki-67阳性率约50%。
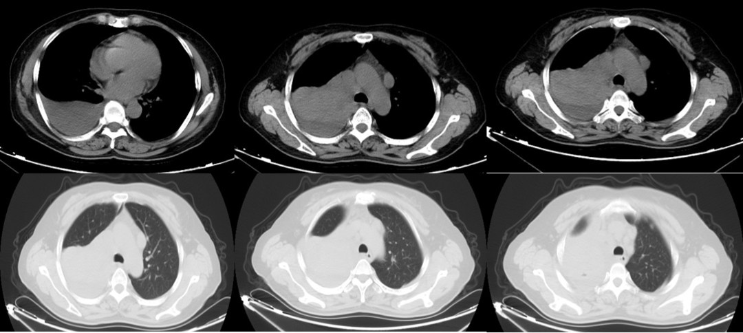
胸部CT(2020年12月6日):右肺中央型肺癌(肿瘤最大截面积7.2×5.2 cm)并右肺上叶肺转移、纵隔多发淋巴结转移CT表现、右侧胸腔积液,如图1-1所示。

图1-1 治疗基线胸部CT
颅脑强化MRI(2020年12月10日):右侧颞叶异常强化灶,结合病史考虑转移。
腹部强化CT及ECT:未见明显转移征象。
基因检测:TP53 p.K139N突变,余未见异常。
免疫治疗预测:PD-L1(SP142)蛋白表达阳性肿瘤细胞占比+(100%),阳性免疫细胞占位+(<1%),微卫星稳定型(MSS),TMB<1个突变/Mb
诊断:肺腺癌(T4N2M1,Ⅳ期)伴纵隔淋巴结转移、胸膜转移、颈部淋巴结转移及脑转移
第一阶段:化疗+抗血管生成+免疫治疗
治疗方案:患者确诊后开始接受培美曲塞+卡铂化疗,基因检测及免疫治疗预测等检查结果回报(见“病例一基本情况”)后,在化疗基础上联合免疫及抗血管生成治疗,即调整治疗方案为:培美曲塞+卡铂+替雷利珠单抗+贝伐珠单抗。
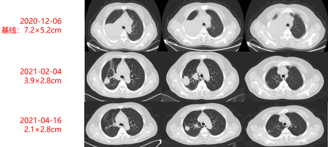
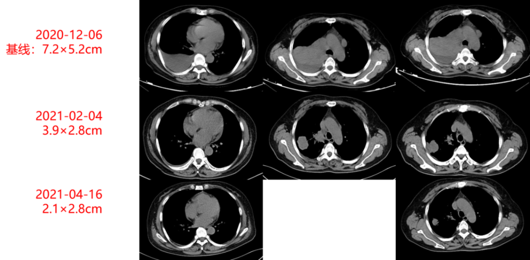
影像学及疗效评价:患者治疗期间定期复查胸部CT,见右肺原发灶逐渐缩小(如图1-2及1-3所示),末次复查时病灶大小为2.1×2.8cm,疗效评价持续PR。

图1-2:治疗期间胸部CT动态变化(肺窗)

图1-3:治疗期间胸部CT动态变化(纵隔窗)
本例患者主因“胸痛1月”就诊,完善相关检查诊断为肺腺癌(T4N2M1,Ⅳ期)伴肺内外多发转移。考虑到患者分期较晚,根治性手术无法切除,先行予患者进行单纯化疗,同时完善基因检测及免疫治疗预测指标,提示患者有TP53基因变异、PD-L1蛋白表达阳性肿瘤细胞占比+(100%),故后续治疗方案调整为化疗+免疫+抗血管生成方案,即培美曲塞+卡铂+替雷利珠单抗+贝伐珠单抗。患者治疗期间规律复查胸部CT,原发病灶体积逐渐缩小(从7.2×5.2cm逐渐缩小至2.1×2.8cm),CEA逐渐降至正常水平(如图1-4所示),疗效持续PR。治疗期间,患者安全性及耐受性良好,未出现明显治疗相关不良反应。

图1-4:治疗期间CEA水平变化趋势
一般资料:患者女性,48岁,于2019年7月1日就诊。
主诉:咳嗽、咳痰6个月。
现病史:患者6个月前无明显诱因出现咳嗽,呈阵发性,无时间规律,咳少量白色粘痰,开始未在意,咳嗽逐渐加重,就诊于当地医院,胸部CT示右肺下叶占位。体重自发病以来下降约3kg。
ECOG PS评分:0分
查体:双肺呼吸音粗,余无明显阳性体征。
胸部CT(2019年07月11日):如图2-1所示,病灶大小约4.9×4.4cm。

图2-1:治疗基线期胸部CT
经皮肺穿刺病理(2019年7月3日):(右肺下叶穿刺活检)结合免疫组化符合肺中低分化腺癌。免疫组化:TTF-1(+)、CK7(+)、Syn(-),Napsin-A(+)、CK5/6 (-)、Ki-67阳性率20%,CK20(-),CDX2(-)。
腹部CT及颅脑MRI:未见明显转移征象。
骨ECT:右侧第9侧肋及左侧髂骨局限性骨质代谢增高,考虑骨转移。
基因检测:KRAS p.G12D、PREX2 p.H939R、TP53 p.P128Lfs*42基因突变。
免疫治疗预测:PD-L1蛋白表达阳性肿瘤细胞占比+(<1%),阳性免疫细胞占比+(<1%),微卫星稳定型(MSS)、肿瘤突变负荷 5.08个突变/Mb。
诊断:肺腺癌(T2bNxM1c,IVB期)伴骨转移
第一阶段:化疗+抗血管生成+放疗
治疗方案:经胸外科、放疗科、化疗科、影像科、病理科MDT讨论后,予患者培美曲塞+卡铂方案化疗,共2周期,同时完善基因检测及免疫治疗预测等检查结果回报(见“病例一基本情况”)后,予患者调整为培美曲塞+卡铂+贝伐珠单抗方案(第3-6周期)、培美曲塞+贝伐珠单抗(第7周期)、放疗(60Gy)+培美曲塞+贝伐珠单抗(第8周期)治疗。
影像学及疗效评价:患者治疗期间定期复查胸部CT,右肺原发灶大小分别为4.7×3.8cm(2周期后)、5.2×4.1cm(7周期后)、3.4×3.2cm(8周期后,与放疗关系大),提示患者对化疗疗效差病灶变化如图2-2所示。

图2-2 治疗期间胸部CT动态变化
第二阶段:免疫+抗血管生成治疗
治疗方案:患者因化疗疗效差,继续化疗恐难以获得疗效改善,故于2020年4月3日开始给予患者免疫联合抗血管生成治疗,具体方案为:替雷利珠单抗200mg+贝伐珠单抗400mg。截止至2021年4月,患者共接受18周期治疗。
影像学及疗效评价:患者治疗期间定期复查胸部CT,右肺原发灶大小分别为2.6×2.5cm(2020年5月11日,疗效评价为PR)、2.6×2.1cm(2020年8月16日,疗效评价为持续PR)、2.6×2.2cm(2020年11月12日,疗效评价为持续PR),后期(2020年12月26日及2021年3月2日病灶略有增大,但大小无法测量,疗效评价为持续SD)。

图2-3 二线治疗期间胸部CT动态变化
本例患者诊断为肺腺癌(T2bNxM1c,IVB期),确诊时已伴有骨转移。经MDT多学科会诊后,予患者培美曲塞+卡铂方案进行2周期化疗,同时完善基因检测结果显示KRAS、PREX2、TP53基因突变,PD-L1蛋白表达示阳性免疫细胞占比+(<1%),调整治疗方案为化疗联合抗血管生成治疗,期间予放疗,但患者一线治疗期间病灶缩小不明显,后期还呈现出增大趋势,最佳疗效仅达到SD。故予调整为二线免疫联合抗血管生成治疗,治疗期间定期复查患者病灶逐渐缩小,疗效持续PR,后期病灶虽略有增大,但仍维持SD,患者现已完成18周期治疗,获益超12个月。治疗期间CEA动态变化如图2-4所示。

图2-4:治疗期间CEA变化趋势
肺癌在中国[1]乃至全球[2]范围内均为癌症相关死亡的主要致死原因之一,非小细胞肺癌(NSCLC)是最常见的肺癌类型,约占新诊断肺癌的85%,肺腺癌是NSCLC最常见的病理类型之一,由于起病隐匿,疾病进展迅速,很多患者在诊断时已是晚期,失去了最佳手术时机,正如本文中的两例患者,初诊时均发现了远处转移,无法进行根治性手术治疗。晚期NSCLC的系统治疗经历了化疗、靶向治疗及免疫治疗的时代更迭,患者生存期不断刷新、延长。免疫检查点抑制剂,尤其是PD-1/ PD-L1抗体已成为晚期NSCLC一线及后线的标准治疗方案,改变了NSCLC的整体治疗格局。且免疫治疗与化疗、抗血管生成治疗等手段的联合,突破了免疫治疗单药方案对患者PD-L1表达水平的要求与限制,受益人群大为拓展,为晚期NSCLC肺癌患者带来了更多的治疗选择。
本文中分享的病例一患者,初诊时即为肺腺癌Ⅳ期伴纵隔淋巴结、胸膜、颈部淋巴结、颅脑多部位转移,无法进行手术治疗。因前期免疫及基因检测结果未知,故先行予患者培美曲塞+卡铂方案化疗,待明确患者存在TP53突变及PD-L1高表达后,考虑到TP53突变也是免疫治疗的潜在获益人群,且在IMpower150研究中观察到,化疗+免疫+抗血管生成的治疗模式能够发挥协同增效作用,显著改善晚期非鳞状NSCLC患者的总生存时间(OS),故予患者调整为培美曲塞+卡铂+贝伐珠单抗+替雷利珠单抗的治疗模式,并为患者带来了确切的疗效获益。以替雷利珠单抗为主的免疫联合治疗方案在晚期非鳞状NSCLC的治疗中充分发挥治疗优势,这一结论不仅在病例一的诊疗经过中得到了很好的体现,也有着强大的研究数据支持。
RATIONALE 304研究[4]是一项针对中国肺癌患者开展的替雷利珠单抗联合化疗一线治疗ⅢB/Ⅳ期非鳞状NSCLC的关键Ⅲ期临床研究,研究共入组了334名患者,以2:1比例随机分配接受替雷利珠单抗联合化疗及单纯化疗,经9.8个月中位随访后的研究结果显示,相比单纯化疗,替雷利珠单抗联合治疗可显著改善PFS(9.7月vs 7.6月,P=0.0044),显著降低了44%的疾病进展风险(研究者评估)。凭借该研究数据,替雷利珠单抗联合培美曲塞+铂类被《中国临床肿瘤学会(CSCO)免疫检查点抑制剂临床应用指南(2021版)》以1A类证据推荐用于Ⅳ期非鳞状NSCLC一线治疗,近期,替雷利珠单抗的相应适应症也在我国正式获批。
替雷利珠单抗在肺腺癌后线治疗中的表现也是可圈可点。病例二中的患者诊断为肺腺癌(T2bNxM1c,IVB期),确诊时已伴有骨转移。在经历了化疗+抗血管生成及放疗后,总体疗效差强人意,提示患者对化疗疗效差,若后续继续选择化疗,不仅疗效没有保障,副作用也将非常严重。在治疗陷入僵局之境时,免疫治疗为患者提供了新的治疗思路。PACIFIC研究[5]证实晚期不可切除NSCLC根治性放化疗后未进展者,接受免疫治疗患者可获得显著生存获益,也为患者后续治疗方案选择奠定了理论基础。且患者同时存在TP53和KRAS双突变,从免疫治疗中获益的可能性更大,因此,在后续的治疗中选用替雷利珠单抗+贝伐珠单抗的免疫联合抗血管生成治疗模式。从机制上看,免疫治疗的响应与肿瘤微环境的免疫浸润状态有关,而抗血管生成药物不仅参与微环境中异常血管的重构,调节肿瘤免疫细胞浸润,还能逆转肿瘤微环境的免疫抑制状态,二者联合起到了“1+1>2”的作用效果[6]。虽然在治疗后期,患者瘤体大小略有增大,但治疗总体疗效仍能够维持SD。以替雷利珠单抗为主的免疫联合治疗方案在患者治疗山穷水尽之际,为患者带来了新的希望。
通过以上两例患者的诊疗经过发现,无论是一线治疗还是后线治疗,替雷利珠单抗均为患者带来了疗效及安全性的获益,其独特的结构优势是临床疗效的基础——作为目前唯一成功对Fc段进行了特殊基因工程改造的PD-1单抗,替雷利珠单抗结构改造后避免了抗体依赖性细胞介导的吞噬作用(ADCP),此次之外,替雷利珠单抗还具有Fab段彻底持久阻断PD-1/PD-L1结合、半衰期长、抗肿瘤活性强等药学优势[7-8]。替雷利珠单抗非鳞状NSCLC一线治疗新适应症的获批将为我国广大肺癌患者带来全新的治疗选择,也希望其能够在进入临床后,进行更加广泛的研究探索,造福我国万千肺癌患者。
扫码二维码
查看更多精彩
参考文献:
[1] Atezolizumab plus bevacizumab and chemotherapy in non-small-cell lung cancer (IMpower150): key subgroup analyses of patients with EGFR mutations or baseline liver metastases in a randomised, open-label phase 3 trial. https://doi.org/10.1016/S2213-2600(19)30084-0
[2]Chen W,Zheng R,BaadePD, etal.CancerStatistics in China,2015.CA CancerJ Clin, 2016, 66(2): 115-132.
[3]N Engl J Med. 2020 Oct 1;383(14):1328-1339.
[4] Zhijie Wang,et al. A Phase 2 Study of Tislelizumab in Combination With Platinum-Based Chemotherapy as First-line Treatment for Advanced Lung Cancer in Chinese Patients. Lung Cancer, In press
[5]David R. Spigel, et al. Five-year survival outcomes with durvalumab after chemoradiotherapy inunresectable stage III NSCLC: An update from the PACIFIC trial. 2021 ASCO, Abstract 8511. [6] NCCN guildeline. Non-Small Cell Lung Cancer. 2020(v6)
[6] Liang H, Wang M. Cancer Manag Res, 2019, 11:7707-7719. [8] Lu S, Yu Y, Yu X, et al. Tislelizumabplus chemotherapy versus chemotherapy alone as first‑line treatment for locally advanced/metastatic non-squamous NSCLC. 2020ESMO Virtual Meet. Published online 2020:1.
[7]NCCN clinical practice guidelines in Oncology:Non-Small Cell Lung Cancer.
[8]Jie Wang, et al. 2020 ASCO, Abstract 9554.

个人中心
我是园区

上官红