衰老导致的机体功能减退和老年性疾病严重影响人类的健康与寿命,是生命科学领域的重大课题。基于气络学说构建的精气神理论提出“肾精虚衰”是衰老根本、“元气亏虚”是衰老关键、“形神耗损”是衰老表现的中医衰老病机,及补肾填精、燮理阴阳、温扶元气、充养形神的抗衰老治法,制定八子补肾胶囊组方。实验研究证实八子补肾胶囊具有改善整体衰老、系统衰老及防治衰老相关疾病的特色优势,初步临床研究证实可提高运动能力、改善性功能,有望成为中医药抗衰老的代表中成药。
八子补肾胶囊的抗整体衰老作用
在防治整体衰老方面,研究证实八子补肾胶囊可增强抵抗外界刺激能力,延长秀丽隐杆线虫寿命;改善衰老小鼠虚弱指数及整体外观表型;通过维持细胞端粒酶活性并延长端粒、上调长寿蛋白Sirt6和下调衰老相关蛋白P53表达、抗炎、抗氧化发挥延缓衰老作用。临床研究证实,八子补肾胶囊显著改善肾精亏虚症状群表现(腰膝酸痛、神疲乏力、健忘、畏寒肢冷、头晕耳鸣、性欲减退等)。
增强抵抗外界刺激能力,延长秀丽隐杆线虫寿命
研究显示,热量限制信号通路和衰老密切相关,激活热量限制信号相关通路可显著上调机体抗氧化水平,增强抗氧化应激能力,进而延长寿命。研究观察八子补肾胶囊对热应激条件下秀丽隐杆线虫存活时间的影响,结果显示,八子补肾胶囊对线虫的平均存活时间、最大寿命及半数寿命均有不同程度的延长作用,且呈剂量依赖性,提示八子补肾胶囊可能通过增强线虫的抗热应激能力而延长线虫寿命。
改善自然衰老小鼠虚弱指数和外观状态
2020年美国哈佛医学院遗传学教授大卫·辛克莱(David Sinclair)领导的研究小组首次对衰老小鼠的衰弱程度变化进行追踪,建立小鼠虚弱指数(FI)作为快速评估衰老程度的工具,通过对被毛状况、皮毛颜色丧失情况、皮炎、肿瘤、腹胀、脊柱后凸、尾巴变硬、步态障碍、震颤、前肢抓力、身体状况核心、前庭功能,白内障、角膜容量、眼部分泌物、视力反射、鼻涕、咬合不正、直肠脱垂、阴道子宫阴茎脱垂、腹泻、呼吸速率深度、立毛等70项指标观察,衡量衰老个体的健康状况和易受不良后果影响的程度。FI评分优于其他侵入性检测方法,作为一种低成本高效益、无创的综合健康指标,为探索预测机体健康状况和预期寿命提供了新的系统表型研发方法。研究以13月龄C57自然衰老小鼠为模型,以雷帕霉素作为阳性对照药物,用药8周后(15月龄)观察小鼠的整体外观状态,并采用虚弱指数对小鼠健康情况进行量化评估,结果显示:自然衰老组的小鼠出现脱毛、毛色变白,精神状态不佳,活动减少等衰老相关表现,八子补肾胶囊组的小鼠皮毛黑亮浓密,精神状态良好,活动正常,显著降低了小鼠的虚弱指数(P<0.01),对小鼠的视力、前庭功能、皮下囊性肿物发生率等指标有明显改善作用,其作用效果不同程度地优于雷帕霉素(图一)。

图一 八子补肾胶囊改善小鼠虚弱指数和外观状态
改善D-氨基半乳糖衰老模型小鼠脏器指数和外观状态
D-氨基半乳糖(D-gal)可以诱导建立亚急性衰老动物模型。研究人员通过建立D-gal诱导的衰老小鼠模型,评价八子补肾胶囊的抗衰老作用,给药周期60天。结果显示:与模型组比较,八子补肾胶囊可维持衰老小鼠体重,明显提高脑、脾、胸腺脏器指数;且八子补肾胶囊组的衰老小鼠毛色乌黑亮泽,浓密,无脱毛现象,精神状态良好,活动正常。表明八子补肾胶囊可延缓整体衰老,改善外观状态。
调节长寿蛋白和衰老相关蛋白水平,调节端粒酶逆转录酶活性
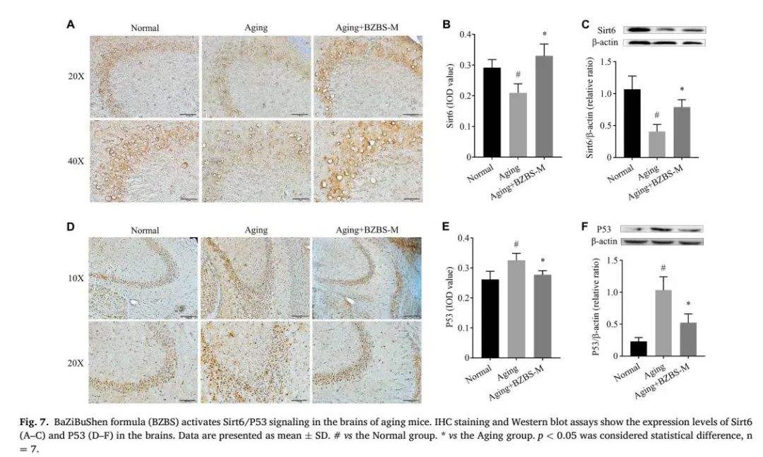
最新研究发现,寿命长短与沉默调节蛋白6(Sirt6)蛋白密切相关,其被称为“长寿蛋白”。Sirt6通过抗癌基因P53及其下游效应因子、端粒酶逆转录酶(TERT)起到保持DNA稳定性和端粒完整性的作用,P53的不稳定可导致Sirt6表达减少,进而诱发机体衰老。研究显示TERT活性降低也会影响线粒体功能、氧化还原动态平衡及端粒完整性。可见,提高Sirt6和TERT基因蛋白表达水平有可能恢复机体活力,减轻衰老引起的多种病理改变,对于保持DNA稳定性和端粒完整性,以及延长寿命具有重要意义。通过建立D-gal和亚硝酸钠(NaNO2)诱导的衰老小鼠模型评价八子补肾胶囊的作用,结果显示八子补肾胶囊能够上调海马和肝脏组织中的长寿蛋白Sirt6的表达水平,降低衰老相关蛋白P53的表达水平,上调TERT蛋白表达水平。表明八子补肾胶囊可能通过上调Sirt6水平,下调P53表达,上调TERT蛋白表达而促进DNA损伤修复并提高端粒酶活性,从而发挥抗衰老作用。
改善炎症和氧化损伤
研究报道,8-羟基脱氧鸟苷(8-OHDG)作为评价DNA氧化损伤程度的生物标志物,可客观反映机体氧化损伤程度;总抗氧化物(TAC)、乳酸脱氢酶(LDH)等是反映组织氧化损伤程度和抗氧化潜在能力的重要指标;促炎细胞因子TNF-α、IFN-γ通过上调衰老相关蛋白成为促发细胞衰老的重要因素。采用D-gal和NaNO2诱导的衰老小鼠模型评价八子补肾胶囊的抗炎、抗氧化能力,结果显示八子补肾胶囊能够显著升高血清IL-2、INF-γ水平、降低TNF-α水平,同时能够降低血清LDH、8-OH-dG含量,增加TAC水平。表明八子补肾胶囊可通过减轻炎症和氧化损伤发挥抗衰老作用。
改善肾精亏虚患者的症状表现
河北医科大学第二医院、河北省人民医院、河北医科大学第三医院观察八子补肾胶囊对肾精亏虚患者的症状改善作用,共纳入90例肾精亏虚证患者,随机分为试验组(60例,口服八子补肾胶囊,2粒/次,3次/日)和对照组(30例,口服五子衍宗丸,4粒/次,3次/日),疗程30天。结果显示八子补肾胶囊有以下疗效优势:①明显提高治疗总有效率(试验组90%对比对照组66.7%)和显效率(试验组46.7%对比对照组23.3%)(P<0.01);②显著改善腰膝酸痛、神疲乏力、健忘、畏寒肢冷、头晕耳鸣、性欲减退等肾精亏虚症状(P<0.01),且对畏寒肢冷、健忘、性欲减退症状的改善作用优于对照组(P<0.05);③显著降低中医证候总积分(试验组8.56±3.63 vs 对照组5.93±2.82)(P<0.01)。表明八子补肾胶囊对肾精亏虚症状有良好改善作用。
八子补肾胶囊的抗系统衰老作用
八子补肾胶囊对心血管系统、神经系统、骨骼系统、肌肉系统、生殖系统的功能减退及衰老相关疾病均表现出确切改善作用,实验研究显示能够有效抑制动脉粥样硬化斑块形成,改善心功能;改善认知功能;促进骨合成,抑制骨分解,提高骨强度;改善肌肉耐力、抓力及平衡力;改善睾丸形态和生精功能,提高精子质量。临床研究证实可显著提高运动机能,有效缓解疲劳;改善阳痿患者的性激素水平,提高性功能。
心血管系统
(1)抑制双侧卵巢切除小鼠动脉粥样硬化:黄丹等采用高脂饲料喂养加双侧卵巢切除建立小鼠早衰模型,同时使用氧化低密度脂蛋白(ox-LDL)诱导人脐静脉内皮细胞(HUVECs)模拟动脉粥样硬化内皮细胞损伤模型,观察八子补肾胶囊对动脉粥样硬化的作用。结果显示,八子补肾胶囊能够调节血脂水平,显著降低总胆固醇(TC)、甘油三酯(TG)、低密度脂蛋白胆固醇(LDL-C)水平,显著升高高密度脂蛋白(HDL-C)水平,且调节血脂作用略优于G1;改善血清代谢物谱,提高血清二十二碳六烯酸、3-羟基丁酸和5(Z)、8(Z)、11(Z)二十碳三烯酸的含量,并降低溶血磷脂酰乙醇胺(18 : 0)含量;能够提高血清雌二醇水平,且无刺激子宫增生的作用;能够缩小斑块面积;抑制斑块内巨噬细胞及T细胞的聚集,减轻炎症细胞浸润,并显著下调p-IκBα/IκBα和p-p65/p65蛋白表达量比率,通过抑制NF-κB信号通路活化,降低VCAM-1和ICAM-1表达水平;明显抑制内皮细胞凋亡,促进抗凋亡基因Bcl-2表达,减少促凋亡基因Bax表达,降低裂解半胱氨酸天冬氨酸蛋白酶-3(cleaved caspase3)/caspase3比率,进一步研究显示八子补肾胶囊的上述作用与激活雌激素受体有关。表明八子补肾胶囊能够改善脂代谢,且具有植物雌激素样作用,能够提高模型小鼠雌激素水平,激活雌激素受体,通过雌激素受体依赖途径系统减轻血管炎症反应,抑制血管内皮细胞凋亡,减少动脉粥样硬化斑块形成(图二)。

图二 八子补肾将囊降低斑块面积
(2)改善双侧卵巢切除小鼠心功能:心脏中线粒体表达丰富,线粒体参与心脏各个阶段的多种生理及病理活动,其功能的完整性在心脏正常生理功能的维持中起到重要作用,心脏中大量功能异常的线粒体堆积既是心脏衰老的标志,也是引起衰老的起始原因。艾静等采用双侧卵巢切除建立小鼠早衰模型,评价八子补肾胶囊对心功能的改善作用。结果显示,八子补肾胶囊能够改善左心室射血分数,减少心肌细胞线粒体周围脂滴数目,缩小线粒体面积,表明其可能通过减轻线粒体损伤改善心功能(图三)。

图三 八子补肾胶囊改善左室射血分数
(3)改善自然衰老小鼠心功能:衰老可导致心脏收缩舒张功能异常,研究表明与年龄相关的心肌收缩力下降、心脏后负荷增加等因素是衰老引起左心室收缩功能下降的主要原因。毛昕菁等采用自然衰老小鼠模型评价八子补肾胶囊对心功能的改善作用。结果显示,八子补肾胶囊能够改善摄血分数、短轴缩短率、心输出量和左心室质量,减少心脏胶原纤维增生,表明其改善心功能的作用可能与减少心脏纤维沉积有关,其更深入的机制研究正在开展当中。
神经系统
(1)改善D-gal+NaNO2衰老模型小鼠的认知功能:多种因素引发的胞内稳态失衡诱导细胞衰老会影响脑功能,加速脑衰老进程,造成神经细胞功能结构损伤及学习记忆能力、感觉和运动协调能力的下降。张东伟等采用D-gal+NaNO2衰老小鼠模型评价八子补肾胶囊对认知功能的改善作用(图四),结果显示八子补肾胶囊能够明显改善衰老小鼠的学习记忆功能,缩短水迷宫实验和跳台实验的潜伏期、降低犯错次数;抑制氧化自由基生成,抑制促凋亡蛋白caspase-3、Bax的表达,促进抗凋亡蛋白Bcl-2的表达,抑制细胞凋亡;提高大脑皮层线粒体的活性,改善线粒体功能;提高Sirt6水平,降低P53的表达,提高端粒酶逆转录酶(TERT)和核受体转录辅助活化因子-1a(PGC-1a)的表达,改善端粒微环境,抑制端粒消耗,提高海马端粒长度。表明八子补肾胶囊可能通过维持氧化还原稳态和端粒完整性改善认知功能,其机制可能与调节Sirt6/NRF2/HO-1和Sirt6/P53-PGC-1α-TERT信号通路激活有关。

图四 八子补肾胶囊改善认知功能
(2)改善D-gal衰老模型小鼠的认知功能:脑衰老进程中,多种因素引发的胞内稳态失衡可以诱导细胞衰老,衰老细胞可分泌大量衰老相关因子,引起组织慢性炎症及结构功能变化,进而影响脑功能,表现出学习记忆能力、感觉和运动协调能力下降。集川原等采用D-gal衰老小鼠模型评价八子补肾胶囊对认知功能的改善作用,结果显示八子补肾胶囊能够缩短巴恩斯迷宫实验的潜伏时间、减少错误次数,调节脑组织和血浆中衰老相关因子水平,升高抗炎因子水平并降低促炎因子水平,并正在进行更深入的机制研究。
(3)改善双侧卵巢切除小鼠认知功能:雌激素在调节中枢及周围神经系统的生长、发育、分化中发挥重要作用,阿尔茨海默病患者中女性约占2/3,且女性患者的整体病理改变重于男性,这与雌激素水平下降密切相关。艾静等采用双侧卵巢切除小鼠模型评价八子补肾胶囊对认知功能的改善作用,结果显示八子补肾胶囊能够显著改善空间学习记忆能力和新物体识别记忆能力,提高筑巢能力,减少海马和皮层衰老细胞数量,并正在进行更为系统深入的机制研究。
骨骼系统
(1)改善D-gal+NaNO2衰老模型小鼠的骨强度:张东伟等采用D-gal + NaNO2腹腔注射建立小鼠衰老模型,评价八子补肾胶囊对骨质量的改善作用。结果显示,八子补肾胶囊能够改善骨强度,提高弹性模量、极限载荷和最大应力;改善骨微结构,抑制股骨微结构破坏、改善骨材料构成;调节氧化还原平衡,提高T-AOC、SOD、GSH、GSH/GSSG水平、降低MDA水平;进一步研究显示八子补肾胶囊可能通过调节Sirt6 /NF-κB /cathepsin K信号通路改善衰老小鼠骨质量。
(2)改善双侧卵巢切除小鼠的骨强度:王丹东等采用双侧卵巢切除小鼠模型评价八子补肾胶囊对骨强度的改善作用,结果显示,八子补肾胶囊能够显著升高雌二醇水平,调节骨代谢,促进骨形成,抑制骨分解,改善胫骨远端骨微结构,增加相对骨体积、骨小梁密度和厚度,降低骨分离度。表明八子补肾胶囊可以通过升高雌激素水平改善骨强度,其进一步的机制正在研究当中。
肌肉系统
(1)改善衰老小鼠肌耐力、平衡力:骨骼肌衰弱是衰老最突出的特征之一,其特征是肌肉质量和功能的丧失。毛昕菁等采用自然衰老小鼠评价八子补肾胶囊对肌肉功能的改善作用,结果显示,八子补肾胶囊能够增加悬挂试验的悬挂时长,增加转棒实验的时间和路程。集川原等采用D-gal小鼠衰老模型评价八子补肾胶囊对骨质量的改善作用,结果显示,八子补肾胶囊能够增加悬挂时长、提高抓力,增加转棒时长和路程。上述研究表明八子补肾胶囊能改善小鼠的肌肉耐力、抓力和平衡力。
(2)提高人体运动功能:研究人员观察在赛前训练期服用八子补肾胶囊对男子田径运动员的影响,结果显示,服用八子补肾胶囊可以维持内分泌稳定,改善运动性低血清睾酮;改善蛋白质代谢平衡紊乱,减少运动性蛋白尿;提高T淋巴细胞免疫功能,改善运动性免疫抑制;维持血白细胞、红细胞及血红蛋白水平,改善运动性贫血;升高血清SOD水平,维持氧化还原平衡,减轻运动性脂质过氧化损伤;提高机体神经调节能力和对环境的适应能力,改善运动后自主神经系统紊乱;降低机体在定量刺激下的电位水平,改善运动后生物电系统紊乱。表明八子补肾胶囊可以显著改善机体运动功能,减少运动后疲劳的发生。研究人员观察在赛前准备期和比赛期服用八子补肾胶囊对男子足球运动员的影响,结果显示,服用八子补肾胶囊可以维持体重,增加肌肉量而减少脂肪重量,降低体脂率;维持运动耐力,提高无氧功率和相对无氧功率平均值,提高无氧运动能力;维持运动后血清睾酮水平稳定;提高血清乳酸脱氢酶和谷丙转氨酶活力。值得关注的是,国家反兴奋剂检测研究中心的报告显示八子补肾胶囊不含有兴奋剂等任何违禁成分。
生殖系统
(1)改善大鼠交配能力:研究显示八子补肾胶囊能够缩短雄鼠扑捉雌鼠的潜伏期,增加单位时间内扑捉雌鼠的次数。
(2)改善单侧睾丸切除大鼠的性机能:研究人员采用单侧睾丸切除大鼠模型评价八子补肾胶囊对其性功能的影响,结果显示,八子补肾胶囊可以提高血清睾酮和皮质醇水平,升高副性器官指数(包皮腺指数、精囊腺+前列腺指数)。
(3)改善自然衰老小鼠生精功能:研究人员观察八子补肾胶囊对自然衰老小鼠生精功能的影响,结果显示,自然衰老小鼠睾丸生精小管中各级生精细胞及精子细胞数量较少,且排列疏松;而八子补肾组小鼠生精小管内各级生精细胞及精子细胞数量较多,排列整齐紧密;此外,八子补肾胶囊对睾丸指数无影响,表明八子补肾胶囊可以显著改善小鼠生精功能且无生殖毒性。
(4)改善D-gal+NaNO2衰老模型小鼠的睾丸形态和生精功能:张东伟等采用D-gal+NaNO2衰老小鼠模型评价八子补肾胶囊的生精功能,结果显示,八子补肾胶囊可以通过调节睾丸Sirt6/P53通路和Sirt6/NF-κBp65通路改善血清氧化还原的平衡,提高小鼠性激素水平,改善睾丸组织形态,提高睾丸线粒体复合体Ⅳ活性,从而改善精子超微结构,并提高精子的数量和质量,包括提高精子活率、鞭打频率、直线速度、曲线速度、平均路径速度、侧摆幅度、向前性和直线性。表明八子补肾胶囊可以通过调控上寿蛋白Sirt6相关信号通路,提高精子数量和质量。
(5)改善阳痿及继发性阳痿患者症状:研究人员通过临床研究评价八子补肾胶囊对不同类型阳痿患者的疗效,结果显示240例阳痿患者服用八子补肾胶囊的痊愈率为11.25%,总有效率为90.83%,最快见效时间为20天,平均见效时间为54天。在60例2型糖尿病继发性阳痿患者中,显效率为61.7%,总有效率为96.7%,最快10天见效,平均45天见效。在60例肾虚型阳痿患者中,显效率为51.7%,总有效率为83.3%,并且能够显著改善中医证候评分,降低勃起功能国际问卷评分,提高血清睾酮水平和性交成功率。
综上所述,八子补肾胶囊对于整体衰老及心血管系统、神经系统、骨骼系统、肌肉系统、生殖系统的功能减退和相关疾病均表现出确切改善作用。目前研究显示八子补肾胶囊的抗衰老机制主要包括上调长寿蛋白Sirt6水平,下调衰老相关蛋白P53水平,上调端粒逆转录酶水平,减轻炎症和氧化反应。其抗衰老作用主要体现为提高性激素水平,抑制动脉粥样硬化形成,改善心功能;提高学习记忆认知能力,改善神经功能;改善骨质疏松,提高运动功能;提高精子数量和质量,改善性功能。总体而言,气络学说指导八子补肾胶囊抗衰老研究充分体现了“理论-新药-实验-临床”中医学术创新与转化新模式,为中医药抗衰老研究做出了示范。
本文由络病研究与创新中药国家重点实验室李红蓉审校
本文参考文献备索

个人中心
我是园区