编者按:肺癌是我国发病率和死亡率均居首位的恶性肿瘤,严重威胁着人民群众的健康。根据病理类型,可以将肺癌分为非小细胞肺癌和小细胞肺癌,其中小细胞肺癌占15%~20%。小细胞肺癌恶性程度更高,早期便容易发生转移,70%患者在确诊时已是广泛期,预后更差1。几十年来,铂类为基础化疗方案已经成为广泛期小细胞肺癌(ES-SCLC)的标准治疗方案2。虽然此类方案有效率高,但绝大多数患者会在一年内出现进展。对于ES-SCLC患者而言,三线及以上治疗选择是有限的。
对于小细胞肺癌,临床医生和患者迫切希望得到更有效的治疗方法。基于此,河南省肿瘤医院王启鸣教授团队开展了一项单臂、探索性、开放性II期临床研究,以评估阿帕替尼联合依托泊苷胶囊三线及以上治疗ES-SCLC患者的有效性和安全性。研究结果已在Translational Lung Cancer Research期刊上发表。
王启鸣 教授
主任医师/教授,博士生导师,博士后合作导师
河南省肿瘤医院大内科副主任,呼吸内科三病区主任
医学博士,美国安德森癌症中心博士后
美国埃默里大学客座教授
美国AACR会员、国际肺癌研究会(IASLC) 会员
国家重点研发计划(科技部、卫健委)评审专家
第四届“白求恩式的好医生”
中国抗癌协会青年理事会常务理事
中原千人计划—中原名医
河南省抗癌协会青年理事会首届执行理事长
河南省抗癌协会靶向治疗专业委员会主任委员
河南省学术技术带头人
Cancer、 Annals of Oncology等19个SCI期刊审稿人
Annals of Translational Medicine、《JCO中文版-肺癌专刊》编委
何振 副主任医师
河南省肿瘤医院呼吸内科三病区副主任医师
河南省抗癌协会青年理事会执行副秘书长
河南省抗癌协会肿瘤靶向专业委员会秘书
河南省抗癌协会肿瘤靶向专业青年委员会副主任委员
河南省抗癌协会肺癌专业委员会委员
河南省抗癌协会肿瘤化疗专业委员会青年委员
河南省免疫学会肿瘤免疫专业委员会委员
郑州市抗癌协会肿瘤临床化疗专业委员会委员
王启鸣教授专访视频
请您谈谈抗血管生成药物在小细胞肺癌领域的治疗现状及治疗前景?
王启鸣教授:小细胞肺癌(SCLC)恶性程度高,对放化疗非常敏感,多年来,放化疗一直是SCLC的主要治疗手段,但容易出现耐药情况。抗血管生成药物广泛应用于治疗多种恶性实体肿瘤,因此在小细胞肺癌领域抗血管生成治疗也非常受到关注。以抗VEGF单抗为代表的贝伐珠单抗在小细胞肺癌做过多项II/III研究, 如III期研究GOIRC-AIFA FARM6PMFJM3,贝伐珠单抗联合化疗对比化疗,研究结果显示中位无进展生存期(mPFS)有显著改善(6.7 vs 5.7个月,p=0.03),但非常遗憾中位总生存期(mOS)无显著差异(9.8 vs 8.9个月)。近几年来,抗VEGFR的小分子TKI应用也非常广泛,如阿帕替尼、安罗替尼、帕唑帕尼、索拉非尼等。安罗替尼是国产的小分子酪氨酸激酶抑制剂,ALTER1202研究对比了安罗替尼和安慰剂在三线及以上SCLC的疗效。结果显示患者mPFS延长3.4个月(4.1个月 vs 0.7个月),疾病进展风险降低81%,mOS亦有改善(7.3个月 vs. 4.9个月)4。抗血管生成药物目前已经成为SCLC三线的标准治疗方案5。
阿帕替尼是江苏恒瑞自主研发的小分子酪氨酸酶抑制剂,在SCLC治疗中也有多项研究布局,在二线及后线人群中,阿帕替尼治疗的客观缓解率(ORR)为13.6%,疾病控制率(DCR)为95.5%,mPFS为5.4个月,mOS为10个月6。对于一线人群,阿帕替尼维持治疗的mPFS为4.1个月(95%CI, 3.63-4.57个月),自诱导化疗起的mPFS为8.3个月(95%CI, 7.2-9.4个月)。mOS自维持治疗起为12.5个月(95%CI, 5.51-19.49个月),自诱导化疗开始为17个月(95%CI, 9.86-24.14个月)7,大大超过了标准的化疗疗效,所以,抗血管生成药物在小细胞肺癌中已显示出了不错的疗效。
对于后续小细胞肺癌研究的开展,您有什么看法?未来,如何进一步拓展阿帕替尼在小细胞肺癌领域的临床应用?
王启鸣教授:阿帕替尼在胃癌、肝癌以及非小细胞肺癌治疗上取得非常显著的疗效和诸多研究成果,在本研究中阿帕替尼联合依托泊苷双口服方案治疗三线及以上广泛期小细胞肺癌,可以评估的53例患者中,ORR达20.8%,DCR达90.6%,优于既往报道数据,并且研究成果发表在Translational Lung Cancer Research(IF:5.132),进一步为我们临床提供了循证医学证据8。该研究提示我们:阿帕替尼有可能是小细胞肺癌的一个较为理想的治疗药物,期待大样本研究提供更强的循证医学依据。
随着国内民族制药创新企业的崛起,越来越多的创新药物走入临床。阿帕替尼作为我国自主研发的口服抗血管生成药物,应结合自身特点开展更多联合应用方向的探索,为更多SCLC患者提供更好的生存获益,本研究取得的结果是一个良好的开端,未来可以进一步探索新的治疗模式和药物组合。如在晚期SCLC,积极探索阿帕替尼联合免疫方向,或在局限期同步放化疗后进行阿帕替尼单药或阿帕替尼联合免疫进行探索等。总体而言,阿帕替尼在SCLC治疗中还有很多未知和值得探索的方向,希望更多同道共同参与进来,开展更大样本量的研究为更多的SCLC患者带来获益。
何振医师专访视频
请您介绍下甲磺酸阿帕替尼片联合依托泊苷胶囊三线及三线以上治疗晚期小细胞肺癌的单臂、探索性、开放性II期临床研究的设计背景、以及研究主要结果。
何振医师:小细胞肺癌是一种恶性程度较高的肿瘤,占所有肺癌的15%左右,其中70% 的SCLC患者在确诊时已为广泛期,患者的预后较差1。几十年来,以含铂双药为基础的化疗方案作为标准,在广泛期小细胞肺癌(ES-SCLC)领域取得不错疗效2。虽然此类方案有效率高,但绝大多数患者会在一年内出现进展,二线化疗也很快进展,作为ES-SCLC患者的三线及以上治疗选择更为困难,也非常有限。因此,我们开展了一项单臂、探索性、开放性II期临床研究,以评估阿帕替尼联合依托泊苷胶囊三线及以上治疗ES-SCLC患者的有效性和安全性。
本研究在2018年1月至2020年2月期间8,由全省11家中心参与,共入组了56例三线或三线以上ES-SCLC患者(ECOG 0-2分),包括一部分体力较差的患者,其中53例患者可以评估疗效。11例患者部分缓解(PR),37例患者病情稳定(SD),ORR为20.8%(11/53),DCR为90.6%(48/53),mPFS为3.0个月,mOS为5.0个月,6个月的OS率为40.1%,12个月的OS率为18.4% 。可能与治疗相关的III/IV级不良事件包括白细胞减少(15.1%),中性粒细胞减少(13.2%),贫血(7.4%)和手足综合征(3.8%),总体来看不良反应发生率较低。
综上,本项研究结果显示,阿帕替尼联合依托泊苷胶囊显示出良好抗肿瘤活性和可控的毒性。对于接受过二线或二线以上治疗的ES-SCLC患者,可将其作为后续治疗的一种选择。
该研究中阿帕替尼的临床疗效与优势对目前的临床实践有何指导意义?
何振医师:众所周知,目前为免疫治疗时代,并且免疫单药或者联合治疗方案在ES-SCLC领域也有诸多临床研究,其中,三线临床研究KEYNOTE-028和KEYNOTE-158(ECOG 0-1分)综合分析,患者的ORR为19.3%,mPFS和mOS分别为2.0和7.7个月9。在我们的研究中,虽然病例数不多且包含部分体能状态差的患者,但疗效相似。
此外,阿帕替尼联合依托泊苷胶囊为双口服用药,不需要静脉注射或住院,减轻了患者的医疗负担。尤其在全球疫情没有得到完全控制的情况下,居家口服用药给患者提供一种有效、方便和依从性高的治疗选择。
本研究证实了阿帕替尼联合依托泊苷胶囊治疗ES-SCLC患者的有效性和安全性,增加了ES-SCLC三线及以上治疗的患者应用阿帕替尼的临床证据。阿帕替尼在SCLC治疗方面,仍有许多问题需要后续探索。比如,关于阿帕替尼剂量的调整问题、治疗时间窗的把控问题、SCLC维持治疗的药物选择及治疗时长问题等等。
基本信息:LXYI。
疾病诊断:原发性左肺小细胞癌,广泛期。
转移病灶:脑。
化疗史:一线“依托泊苷+奈达铂+长春新碱”方案;二线“IP/IC”方案;三线“依托泊苷胶囊”维持;四线“紫杉醇”单药维持。
手术:无。
放疗:2016年,行头部伽马刀放疗 ;2017年8月,行全脑放疗。
合并疾病:无。
不良事件:白细胞减少、贫血、蛋白尿、高血压(I-II度)。
疗程:2018年6月—2019年3月(用药8.5个周期),阿帕替尼 250mg qd po;依托泊苷50mg/d,po(d1-21),28天一个周期。
目前状态:用药1周期后疗效评价为PR;已达研究终点( PFS 8.5个月;OS 12个月 )。

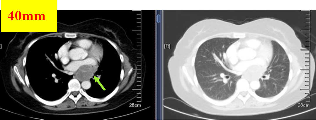
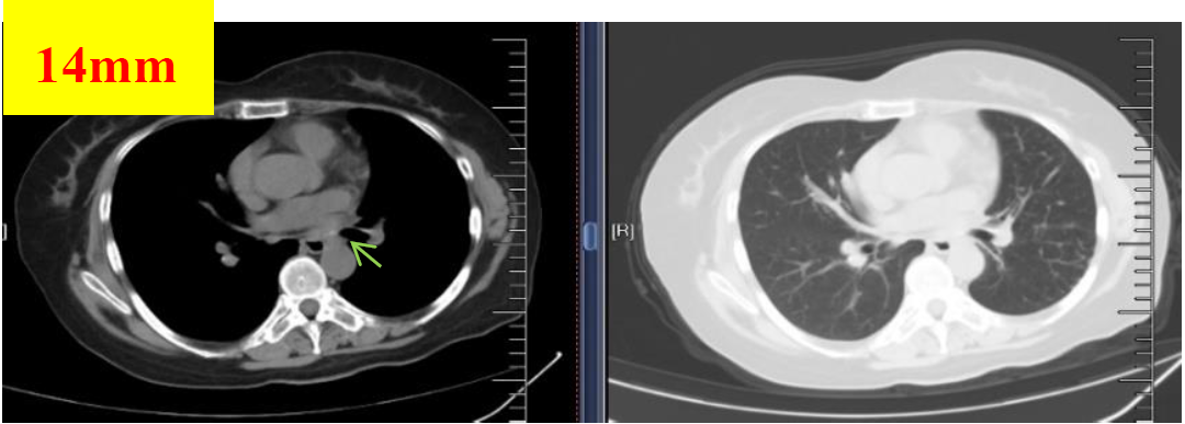
图1 2018.06.19基线检查

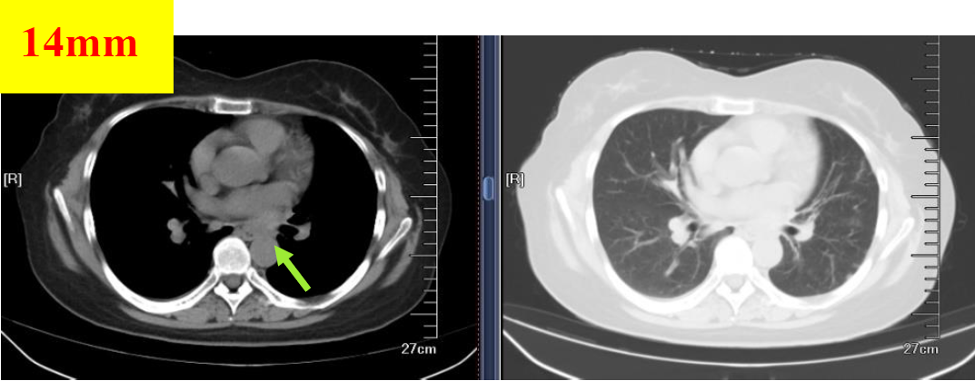
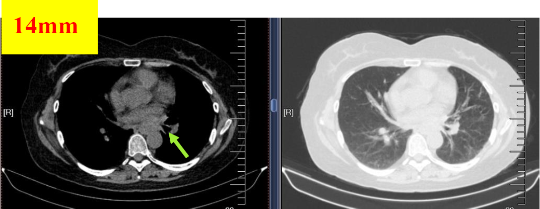
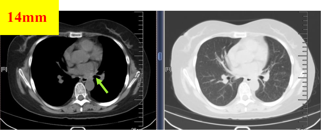
图2 2018.07.23影像学检查(PR)

图3 2018.08.28影像学检查(PR)

图4 2018.09.27影像学检查(PR)

图5 2018.10.25影像学检查(PR)
图6 2018.12.04影像学检查(PR)

图7 2019.01.06影像学检查(PR)
图8 2019.02.14影像学检查(PR)

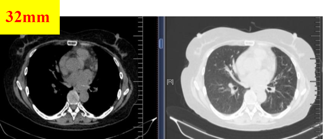
图9 2019.03.08影像学检查(PD)
阿帕替尼联合依托泊苷胶囊应用于晚期小细胞肺癌的末线治疗,该病例疗效优异,最佳疗效可达PR, 患者的PFS 8.5个月,OS 12个月,并且整体耐受良好。总的来说,阿帕替尼联合依托泊苷三线以上治疗晚期小细胞肺癌,疗效良好,副作用较低且可控。
对于三线及以后的小细胞肺癌患者,基本无标准治疗方案,对于这类患者阿帕替尼联合依托泊苷提供了双口服的治疗方案,使更多的末线、复发或难治性广泛期小细胞肺癌患者获益。通过这个病例,我们可以发现,这一联合用药模式在小细胞肺癌三线以后也显现了较好的疗效和安全性,阿帕替尼可作为SCLC多线治疗后的选择。
参考文献:
1、Yang S, Zhang Z, Wang Q. Emerging therapies for small cell lung cancer. J Hematol Oncol 2019;12:47.
2、Arrieta O, Lara-Mejía L, Zatarain-Barrón ZL. Carboplatin plus etoposide or topotecan for small-cell lung cancer. Lancet Oncol 2020;21:1132-4.
3、Tiseo M, Boni L, Ambrosio F,et al. Italian, Multicenter, Phase III, Randomized Study of Cisplatin Plus Etoposide With or Without Bevacizumab as First-Line Treatment in Extensive-Disease Small-Cell Lung Cancer: The GOIRC-AIFA FARM6PMFJM Trial. J Clin Oncol. 2017 Apr 20;35(12):1281-1287. doi: 10.1200/JCO.2016.69.4844.
4、Cheng Y, Wang QM, Li K, et al. Anlotinib as third-line or further-line treatment in relapsed SCLC: a multicenter, ramdomized, double-blind phase 2 trial. 2018 World Conference on Lung Cancer. Abstract. OA13.03
5、中国临床肿瘤学会(CSCO).小细胞肺癌诊疗指南.2020
6、Yutao L, Yuankai S,et al A Prospective Study of Apatinib in Patients with Extensive‐Stage Small Cell Lung Cancer After Failure of Two or More Lines of Chemotherapy[J]. The Oncologist, 2020, 25(5).
7、Yan X, Wang Q, Wang H, et al. Apatinib as maintenance therapy in extensive-stage small-cell lung cancer: results from a single-center retrospective study. J Cancer Res Clin Oncol. 2019;145(1):235-240.
8、Zhen He, Hanqiong Zhou, Junsheng Wang, et al. Apatinib with etoposide capsules as a third- or further-line therapy for extensive-stage small cell lung cancer: an open-label, multicenter, single-arm phase II trial.Translational Lung Cancer Research.
9、Chung HC,Piha-Paul SA,Lopez-Martin J,et al.Pembrolizumab after two or more lines of prior therapy in patients with advanced small-cell lung cancer (SCLC):results from the KEYNOTE-028 and KEYNOTE-158 studies[R/OL].AACR 2019,abstract CT073.
来源丨瑞e声

个人中心
我是园区