2021年底,上海交通大学医学院附属第九人民医院(下称“上海九院”)血管外科陆信武教授携叶开创教授、施慧华教授、彭智猷教授等专家团队,成功完成乐奥医疗控股子公司上海唯域医疗科技有限公司自主研发的LuVoCaptor取栓导管的三例临床。
在三例临床试验中,乐奥医疗的LuVoCaptor取栓导管均表现良好,静脉血栓清除率超90%,且患者创伤小、恢复快。同时,该取栓导管不仅能有效清除急性血栓,还能清除亚急性甚至陈旧性血栓,减少PTS(血栓后综合征)的发生。
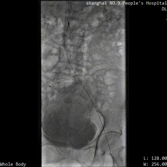
病例一
■ 基本情况:
患者,女,65岁,因“左下肢肿痛6天”入院。左下肢皮温略低,肿胀自足背至左大腿中段,呈非凹陷性水肿,Honmans征(+),左下肢深静脉血栓形成,拟行经皮机械性血栓切除术(以下简称PMT)。
■ 手术过程:
取栓术前管腔造影

术后,患者无特殊不适主诉,精神好,术肢肿胀明显消退,术肢末梢血运好,动脉搏动可扪及,双侧腓肠肌松软,双下肢感觉及运动正常。该病例随访三次,分别行超声检查及CTA检查,检查结果均良好。
病例二
■ 基本情况:
患者,女,61岁,因“左下肢肿痛4天”入院。左下肢皮温略低,肿胀自足背至左大腿中段,呈非凹陷性水肿,Honmans征(+),左下肢深静脉血栓形成,拟行PMT。
■ 手术过程:
患者仰卧位,穿刺膝右侧股总静脉,造影定位下腔静脉,肾静脉位置,放置可回收腔静脉滤器;穿刺左侧腘静脉,置入导鞘,使用LuVoCaptor取栓导管作用靶病变,实施取栓后,即刻造影检查示血栓清除率>90%。导丝导管配合通过左髂静脉狭窄闭塞段返回真腔,后行球囊扩张术,再植入Wallstent支架。再次造影见左股浅静脉、股静脉、髂静脉、腔静脉、滤器内连续显影,未见明显充盈缺损,管壁形态血流速度快,造影剂无外渗。
■ LuVoCaptor取栓前后管腔造影对照:

取栓术前管腔造影

取栓术后管腔造影
■ 术后随访情况:
患者精神可,术肢皮色无苍白,无紫绀,无肿胀,穿刺点附近少量瘀斑,无血肿无渗出,腓肠肌松软,足背动脉搏动可扪及,双下肢感觉运动无障碍。该病例随访三次,分别行超声检查及CTA检查,检查结果均良好。
病例三
■ 基本情况:
患者,女,77岁,因“左下肢肿痛一周”入院。一周前开始出现左下肢肿胀,行走困难,伴有疼痛,行走后疼痛肿胀明显,左下肢皮温略低,肿胀自足背至左大腿中部,呈凹陷性水肿,Honmana征(+),左下肢深静脉血栓形成全,拟行PMT。
■ 手术过程:
患者仰卧位,穿刺膝右侧股总静脉,造影定位下腔静脉,肾静脉位置,穿刺腘静脉,放置可回收腔静脉滤器;穿刺左侧腘静脉,置入导鞘,使用LuVoCaptor取栓导管作用靶病变,实施取栓后,造影检查示血栓清除率>90%,取栓后靶血管残余狭窄50%。导丝导管配合通过左髂静脉狭窄闭塞段返回真腔,后行球囊扩张术,再植入Wallstent支架。再次造影见左股浅静脉、股静脉、髂静脉、腔静脉、滤器内连续显影,未见明显充盈缺损,管壁形态血流速度快,造影剂无外渗。支架植入后靶病变狭窄10%。
■ LuVoCaptor取栓前后管腔造影对照:

取栓术前管腔造影

取栓术后管腔造影
患者神清,左下肢轻度肿胀,腓肠肌松软,足背动脉搏动可扪及,双下肢感觉运动无障碍,下肢穿刺点甲级愈合。该病例随访三次,分别行超声检查及CTA检查,检查结果均良好。
静脉血栓呈渐进式发展,
亚急性血栓成临床难题
“常年隐身”的外周静脉疾病在我国逐渐受到重视。
深静脉血栓形成(DVT)是临床上常见的外周静脉疾病。据弗若斯特沙利文报告,2019年我国共有150万深静脉血栓患者,预计到2030年将增至330万人。在临床上多数深静脉血栓患者无明显症状,因此早期漏诊、错诊的比例较高,仅有20%深静脉血栓被临床诊断。
深静脉血栓是一种“凶险”的疾病,可能引发包括肺栓塞(PE)、PTS等并发症,严重者将出现休克甚至死亡。按照发病时间,深静脉血栓形成可分为急性期(发病14内)、亚急性期(发病15天—30天)、慢性期(又称陈旧性血栓,发病30天后)。
近年来,深静脉血栓治疗技术发展迅速,但多数治疗方法仅针对急性血栓。但血栓的发展是渐进性的,一段病变的静脉血管内可能同时存在急性、亚急性甚至陈旧性血栓。亚急性血栓会黏附在血管壁上,难以清除,若强行取栓可能造成血管壁损伤。未清除的血栓最终会发展为纤维化物质,形成PTS,严重影响患者生活质量。
全球首创静脉取栓技术,
可取亚急性血栓
由于清除难度较大,亚急性静脉血栓一直是临床上的难解之题。目前,市面上常见的静脉取栓导管有波士顿科学的AngioJet和碧迪医疗的Aspirex S,两者主要用于清除急性静脉血栓。
在最近的三例临床试验中,LuVoCaptor取栓导管均表现出较优的血栓清除能力,让急性血栓“避无可避”,并且还能清除亚急性血栓,取得良好的临床效果。
LuVoCaptor取栓导管不依赖专用设备和溶栓剂,为了达成良好的取栓效果,针对临床难点设计了瞬时抽吸,可在短时间内达到较强的抽吸力,确保快速吸出团状、粘稠态的成型血栓。手术过程只需配备医院现有的负压泵,节省了高达百万的设备费用。
因此,这款器械更易下沉到基层,降低患者整体治疗费用,满足深静脉血栓及时、就近治疗的需求。
自2021年6月在上海九院开启首例临床入组,乐奥医疗的取栓导管取得了较好的临床结果,平均血栓清除率超90%,预计将于2024年上市。
乐奥医疗联合创始人,研发副总兼唯域医疗总经理葛泉波介绍:“作为一款全球首创产品,未来外周血管取栓导管上市,将因其血栓清除率高、医生学习曲线短、治疗效率高而更好地满足基层医生的需求。”
这款产品是乐奥医疗的原研性产品,是一个将临床需求经过不断试错迭代改进,使创新概念演变成临床产品的案例。
锚定外周介入市场,
夯实产品管线布局
自2011年成立,乐奥医疗已走过10年风雨,撒下技术和产品的种子,逐步搭建了六大核心技术平台——金属支架平台、高分子导管平台、有源器械平台、可降解材料平台、可视技术平台和载药器械平台,拥有超50项技术专利。
基于有战斗力的执行团队和创新技术平台,瞄准临床需求,乐奥医疗在外周介入、消化介入、呼吸介入三大领域广泛布局。
在外周介入领域,公司同时布局外周动脉血管产品和外周静脉血管产品,创新性地研发了外周静脉取栓导管和静脉支架等产品。公司的外周血管球囊扩张导管已在2019年5月获批,外周动脉支架已在2021年3月完成全部临床入组,预计2023年获证上市,成为国内首款外周血管动脉系列长支架(最长规格200mm)。
根据2017年发布的《深静脉血栓形成的诊断和治疗指南(第三版)》,该病的治疗手段包括血管取栓、球囊扩张和支架植入等。乐奥医疗研发的取栓导管、PTA球囊导管以及外周静脉支架,就是针对深静脉血栓治疗提供整体解决方案。

个人中心
我是园区