您还不是认证园区!
赶快前去认证园区吧!
美国哈佛医学院Owen J. Sansom、芬兰赫尔辛基大学Pekka Katajisto等研究人员合作发现,来自Apc突变细胞的NOTUM促进克隆竞争从而引发癌症。
相关论文于近日已发表在《自然》杂志上。

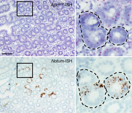
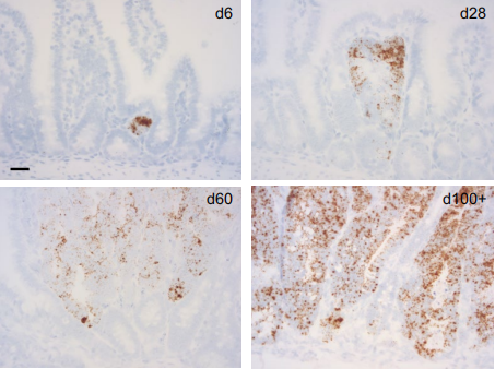
研究人员破译了Apc突变细胞如何获得优于野生型的克隆优势来实现固定。研究人员发现,Apc突变细胞富含编码几种分泌性WNT拮抗剂的转录物,其中Notum表达最高。来自Apc突变细胞的条件培养基以NOTUM依赖性方式抑制野生型类器官的生长。

此外,NOTUM分泌的Apc突变体克隆主动抑制周围野生型隐窝细胞的增殖并推动它们的分化,从而在竞争中战胜了来自微环境的隐窝细胞。NOTUM的遗传或药理学抑制消除了Apc突变细胞扩大和形成肠腺瘤的能力。
研究人员将NOTUM确定为突变固定早期阶段的关键介导者,这能够靶向用于恢复野生型细胞的竞争力,并为处于结直肠癌的高风险人群提供了预防策略。

研究人员介绍,抑癌基因APC是结直肠癌中最常见的突变基因。肠道干细胞中Apc的缺失通过增加WNT信号传导来驱使小鼠腺瘤的形成,但WNT配体分泌的减少增加了Apc突变肠道干细胞定殖隐窝(也称为固定)的能力。
相关论文信息:
https://doi.org/10.1038/s41586-021-03525-z

2020年热文精选

个人中心
我是园区