
电影《神奇旅程》中,几位医生缩小到微生物大小,驾驶飞船进入一位科学家大脑,为其进行血管手术后迅速撤离。
五年前,科技企业家 Michael Shpigelmacher 看到了这部电影,并想将之付诸实践。

图 | 《神奇旅程》截图,故事讲述了一名苏联科学家从银幕逃到美国,因为他的脑血管遭到间谍破坏而命在旦夕。五名美国医生乃被缩小成几百万分之一置于胶片中,注射进科学家体内进行血管手术。(来源:电影)
美国一家中枢神经系统疾病治疗初创 Bionaut Labs 在近日浮出水面,该公司正在开发毫米级机器人,可用其搭载药物,并通过远程控制将机器人引导至患处、卸载药物。目前该技术已在动物体内进行了测试,未来将用于人类疾病的治疗。
Bionaut Labs 宣告已经获得 2000 万美元 A 轮融资,值得注意的是,本轮融资由硅谷著名科技风险投资机构科斯拉风投 Khosla Ventures 领投。
而 Bionaut Labs 的创始人、首席执行官就是前文提到的 Michael Shpigelmacher,其公司的药物精准递送微型遥控机器人项目早在 2016 年便已启动,不过当时该项目的启动资金都是 Shpigelmacher 与其合伙人 “自掏腰包”。如今获得科斯拉风投的支持,对 Shpigelmacher 来说意义重大。
Shpigelmacher 称,Bionaut 机器人的药物递送技术最快将在 2023 年进行临床试验 。
在创办 Bionaut Labs 之前,Shpigelmacher 的工作经历多与科技及其投资相关,曾先后就职于麦肯锡和摩根士丹利公司,重点负责投资战略相关业务。更早的时候,他在 3D 传感初创公司 Shpigelmacher 的创建中作出重要贡献,该公司后被苹果公司收购。

图 | Michael Shpigelmacher (来源:Bionaut Labs 官网)
精准送药,直达病灶
早在 20 世纪中期,著名物理学家 Feynman 先生就提出了分子机器的设想,预测未来只要把纳米机器人放进人体的血液中,就能自动抵达病灶进行手术,治疗疾病。
如今,以细胞为载体的微型药物递送和治疗生物机器人已经成为极具前景的体内靶向运输工具,并诞生了众多创业公司。
Michael Shpigelmacher 说,其药物递送技术 Bionaut™与 Rani Therapeutics 以及其他一些初创公司研发的 “机器人药丸” 听起来类似,但有很大差异。
“机器人药丸” 主要用于替代药物的静脉注射,所以这些 “药丸” 只需要到达肠道,后续需要随着血液到达病灶即可。目前,Rani Therapeutics 已将 RaniPill 胶囊技术应用于多种药物的开发中,如果临床研究顺利的话,这类 “机器人药丸” 最早将于 2022 年面世。

而 Bionaut™则更偏向于为不同疾病以及受损组织专门定制大小(100nm-1mm)、形状乃至表面特性合适的微型遥控机器人,并通过远程遥控将装载着有效载荷的机器人精准引至患处,操控机器人将药物释放。以此来实现,将适用药物足量直接投放到正确的位置上。
相比之下,药物递送至肠道后再经血液扩散,不仅需要更大的药物剂量摄入,药物对其他细胞干扰的风险也更高。

图 | Bionaut 微型遥控机器人(右)(来源:Bionaut Labs 官网)
更重要的是,不仅仅是药物的精准送达,可遥控的微型机器人还有应用于微创 “手术” 的潜力,可以深入大脑为解决 CNS 疾病提供新的解决思路。
以亨廷顿舞蹈症 (Huntington’s disease, HD) 为例。针对该疾病,目前已经存在一些潜在的药物治疗方案,但安全、有效地为患者中脑提供足够剂量的治疗药物是非常关键的一步。而 Bionaut 微型机器人刚好可以扮演 “微型药物快递员” 的角色,安全、准确地通过脑脊髓液、脑组织等 “障碍”,突破神经系统疾病治疗的限制。
若该技术未来能够应用于临床,不仅可以提高疾病治疗效果,也将对药物开发开拓更宽松的环境。Shpigelmacher 在接受采访时也提到,拓宽药物开发中的治疗窗(或称 “治疗范围”)是 Bionaut™的目标之一。
“治疗窗” 是指药物对疾病起作用的浓度范围,药物浓度太低不产生治疗效果,浓度太高则产生难以耐受的毒性。因此,对于大多数药物来说,开发者必须要平衡药物分子,降低在杀死肿瘤的同时伤害其他细胞的可能。这二者之间的平衡无疑加大了药物开发的难度,但如果能够将药物直接递送到疾病所在的部位,药物开发过程中的顾虑也就少了很多。
从亨廷顿病和神经胶质瘤开刀
根据公司规划,Bionaut™的临床试验最快将于 2023 年开始进行,其首个试验项目计划针对常见于儿童的一种脑干胶质瘤展开。
Shpigelmacher 提到,选择从这一病症入手,是考虑到该疾病会对患者产生极大的影响,但目前尚缺少有效的治疗方案;再加上很多公司在药物递送上的失败,大多都是因为其在对大脑或者大脑某一部分治疗的效果有限。
他补充道 “并不是想从听起来过于冒险或者未经测验的概念开始进行试验,” 此前,公司已经运用这一技术成功地将治疗药物直接送达至其植入在小鼠体内的人类脑干胶质瘤处,并且消灭了那些肿瘤的毒性。Bionaut™一旦能够成功完成这次任务,就能够证明这一方法在绝大多数情况是行得通的。
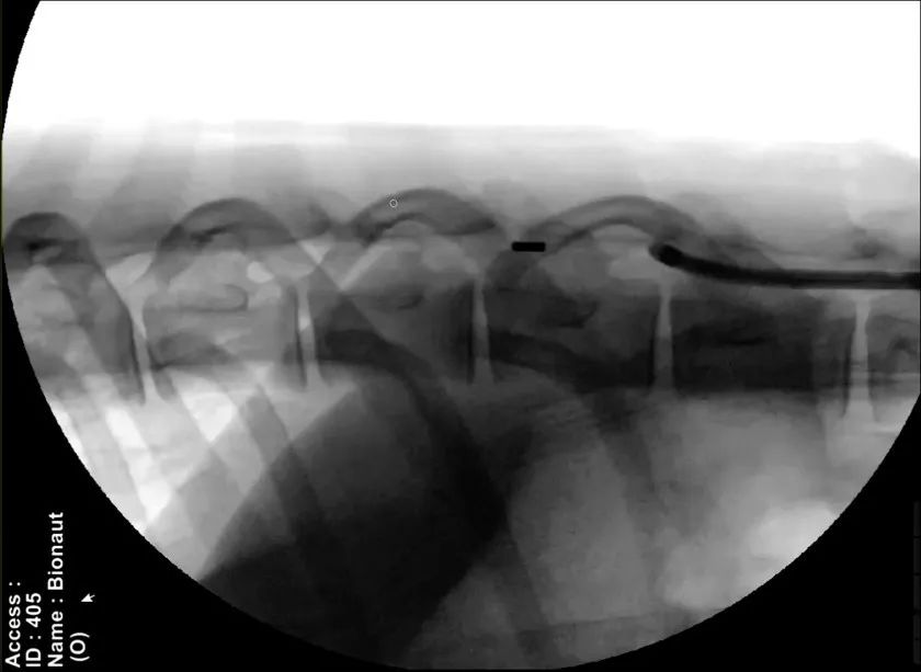
具体而言,该公司会在其首次临床试验中把装载着治疗药物的微型机器人注射到脊柱中,并使用一组位于头部和颈部周围的磁铁产生的磁场将机器人引导进入脑部患病区域。在到达正确的位置后,另一个磁信号将激活机器人药物舱的开关,释放药物。药物卸载后,医生再引导机器人返回至起始点,将其从脊柱处接离。

图 | Bionaut 微型机器人进入活羊的蛛网膜下腔(来源:Bionaut Labs 官网)
Shpigelmacher 进一步解释道,目前的技术已经允许机器人制造得足够小,但为了确保其能够在 X 光下实时清晰可见、方便追踪和操控,Bionaut 将微型机器人的大小尽可能保持在 1 毫米左右。
目前,Bionaut 的微型遥控机器人项目还处于初期阶段。不过 Khosla Ventures 创始人 Vinod Khosla 认为,作为一种针对脑部严重疾病的靶向治疗新方式 Bionauts 有着巨大的前景,同时 Bionaut 也具备应用于常规治疗无效或效果甚微的疾病中的潜力。
(来源:公司官网)
参考资料:
https://bionautlabs.com/
https://endpts.com/khosla-joins-bet-on-unconventional-startup-looking-to-send-drug-delivering-robots-into-the-brain/
https://www.latimes.com/business/technology/story/2021-03-04/this-la-company-is-building-tiny-medical-robots-to-inject-into-your-body

个人中心
我是园区